Please ensure Javascript is enabled for purposes of website accessibility
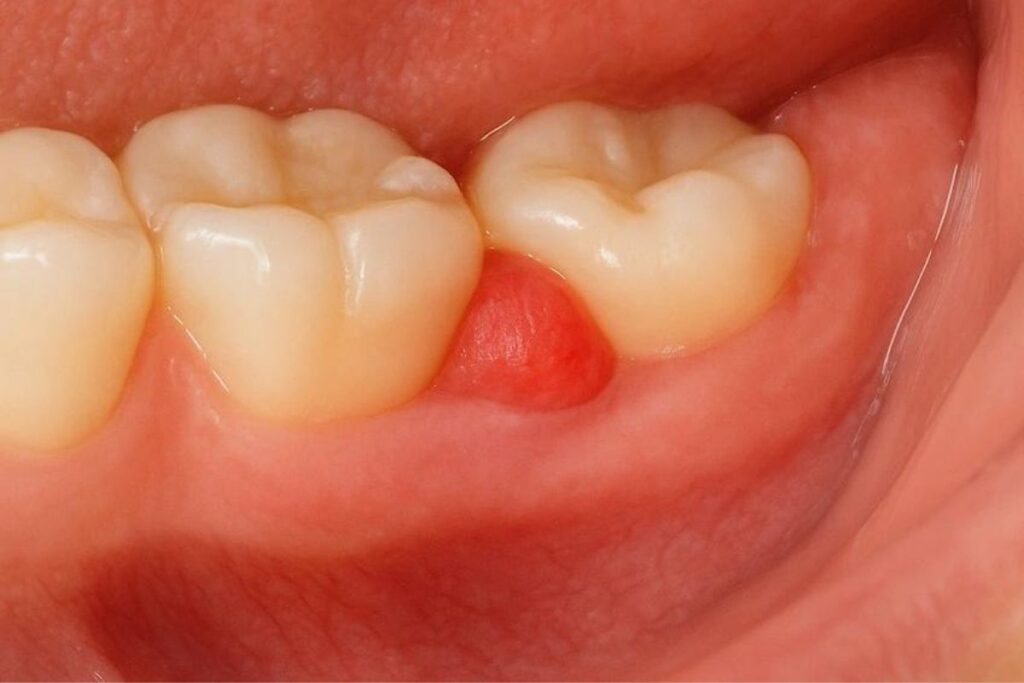
gum flap over a molar

What Is a Gum Flap Over a Molar in Children? Causes, Symptoms & When to See a Dentist

When a child starts complaining about pain in the back of their mouth, parents often assume it’s just a new tooth coming in. But sometimes, the issue is something called a gum flap over a molar, also known in dentistry as an operculum. While it’s usually harmless at first, it can lead to discomfort or infection if not properly managed.

Let’s break down what this condition is, why it happens, and when you should seek professional care.

What Is a Gum Flap Over a Molar?

A gum flap is a small piece of gum tissue that partially covers a tooth, usually a molar that hasn’t fully erupted (come through the gums). This is common in children when:

  • Permanent molars are erupting
  • Baby teeth are being replaced
  • There isn’t enough space for the tooth to emerge fully

This flap can trap food, bacteria, and plaque, increasing the risk of irritation or infection.

What Causes a Gum Flap in Children?

Several factors can lead to the formation of a gum flap over a molar:

1. Partial Tooth Eruption

When a tooth only partially breaks through the gums, the remaining gum tissue forms a flap.

2. Crowded Teeth

If there isn’t enough space in your child’s mouth, the tooth may not erupt properly, leaving gum tissue covering part of it.

3. Poor Oral Hygiene

Food and plaque buildup around erupting molars can worsen inflammation and make the gum flap more noticeable.

4. Natural Growth Process

In many cases, this is simply part of normal dental development—especially around ages 6–12 when permanent molars come in.

Common Symptoms to Watch For

Not all gum flaps cause problems, but when they do, you may notice:

  • Pain or tenderness at the back of the mouth
  • Swelling or redness around the molar
  • Difficulty chewing
  • Bad breath (due to trapped bacteria)
  • A bad taste in the mouth
  • Mild fever (in case of infection)

One possible complication is pericoronitis, an infection that occurs when bacteria get trapped under the gum flap.

Is It Dangerous?

In most cases, a gum flap is not serious and resolves on its own as the tooth fully erupts. However, it can become problematic if:

  • The flap traps food and bacteria
  • Infection develops
  • Pain interferes with eating or sleeping

If left untreated, infections can spread and cause more significant oral health issues.

At-Home Care Tips for Relief

You can help your child stay comfortable and reduce the risk of complications with these simple steps:

  • Encourage gentle brushing around the area
  • Use warm saltwater rinses (for older children)
  • Provide soft foods to avoid irritation
  • Avoid sticky or hard foods that can get trapped

⚠️ Always supervise your child’s oral hygiene, especially when new teeth are erupting.

When Should You See a Dentist?

You should schedule a dental visit if your child experiences:

  • Persistent pain lasting more than a few days
  • Swelling that worsens
  • Signs of infection (pus, fever, severe bad breath)
  • Difficulty opening the mouth or chewing

A dentist may:

  • Clean the area thoroughly
  • Prescribe medication if an infection is present
  • Recommend removing the flap in rare cases
  • Monitor tooth eruption for proper alignment

How Dentists Treat Gum Flaps

Treatment depends on the severity of the condition:

  • Mild cases: Professional cleaning and hygiene guidance
  • Infection present: Antibiotics or antimicrobial rinses
  • Recurring issues: Minor procedure to remove the gum flap
  • Severe crowding: Orthodontic evaluation

Early care prevents complications and ensures your child’s teeth develop properly.

Preventing Gum Flap Problems

Prevention is simple but important:

  • Maintain good oral hygiene habits
  • Schedule regular dental checkups
  • Monitor your child’s tooth eruption stages
  • Address crowding issues early with orthodontic care

A gum flap over a molar in children is a common and usually harmless condition associated with tooth eruption. However, it’s important to stay alert for symptoms like pain, swelling, or infection.

With proper care at home and timely dental visits, you can ensure your child’s smile stays healthy and pain-free.

Why Choose Meydenbauer Dental?

At Meydenbauer Dental, we provide gentle, child-focused dental care in a welcoming environment. Our experienced team understands the unique needs of young patients and offers personalized solutions for conditions like gum flaps, erupting molars, and more.

We focus on:

  • Early diagnosis and prevention
  • Comfortable, minimally invasive treatments
  • Education for both parents and children

Schedule a Pediatric Dental Visit

A gum flap over a molar in children is a common condition, especially during the transition from baby teeth to permanent teeth. While it may seem minor at first, it can lead to discomfort or infection if left untreated.

By recognizing the symptoms early and seeking timely dental care, you can ensure your child’s smile stays healthy and pain-free.

Schedule your appointment today at Meydenbauer Dental and visit our office at 13033 NE Bel Red Rd #220, Bellevue, WA 98005 to give your child the expert care they deserve.

FAQs

1. Is a gum flap normal in children?

Yes, it’s common during tooth eruption and usually resolves as the tooth fully emerges.

2. Can a gum flap go away on its own?

In many cases, yes. Once the tooth erupts completely, the flap disappears naturally.

3. Is it painful for kids?

It can cause mild discomfort, especially while chewing, but severe pain may indicate infection.

4. How do I clean under a gum flap?

Encourage gentle brushing and rinsing with saltwater (if age-appropriate).

5. Can it become infected?

Yes, trapped food and bacteria can lead to infections like pericoronitis if not managed properly.